上顎前突(出っ歯)について
- 2025年11月22日
- 矯正
こんにちは!西新宿オリーブ歯科クリニックの院長です 😀
今日は上顎前突いわゆる出っ歯についてお話したいと思います。
上顎前突(出っ歯)とは、上の前歯や上あごが前に出ている噛み合わせのことを指します。
「出っ歯」と呼ばれることもあり、見た目だけでなく、かみ合わせやお口の健康にも影響するため、気になる方が多い症状です。
上顎前突の原因
上顎前突になる理由は一つではありません。
-
上あごが大きい・前方に位置している
-
下あごが後ろに下がっている
-
前歯が前に傾いている
-
指しゃぶり、舌の癖、口呼吸 などの習慣
-
遺伝的な要因
原因によって最適な治療方法が変わるため、まずは精密な検査が大切です。
こんな症状はありませんか?
-
前歯が出て見える、口元が気になる
-
口が閉じにくい
-
発音がしにくい(特にサ行)
-
前歯で食べ物を噛み切りにくい
-
唇が乾きやすい・虫歯や歯ぐきのトラブルが増えやすい
上顎前突を改善することで、見た目の改善だけでなく、噛む・話すといった日常の機能も向上します。
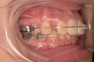
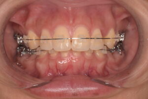
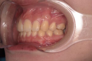
治療方法について





